Skip the wait! TEXT US so we can serve you faster!
info@sherwoodsmiles.ca
780-800-0402
Contact Us
Services
Why Aligners
Pricing
How It Works
Book Now
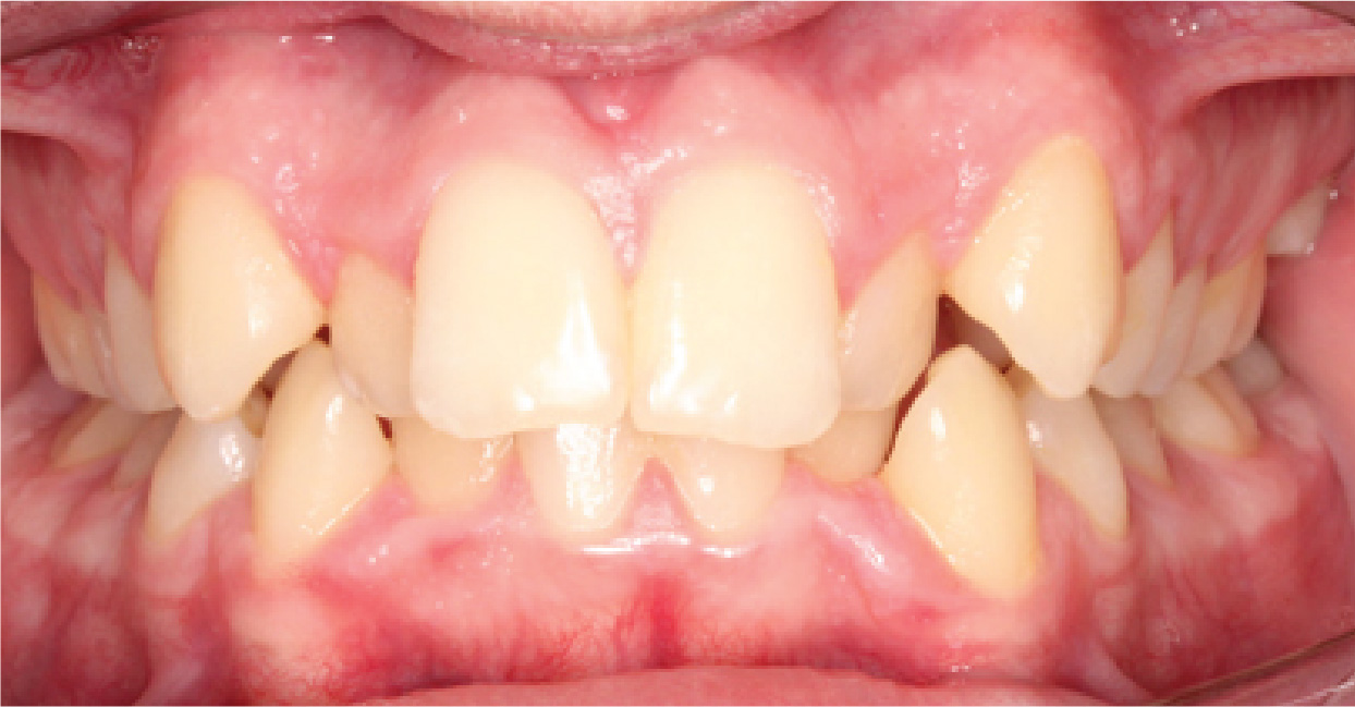
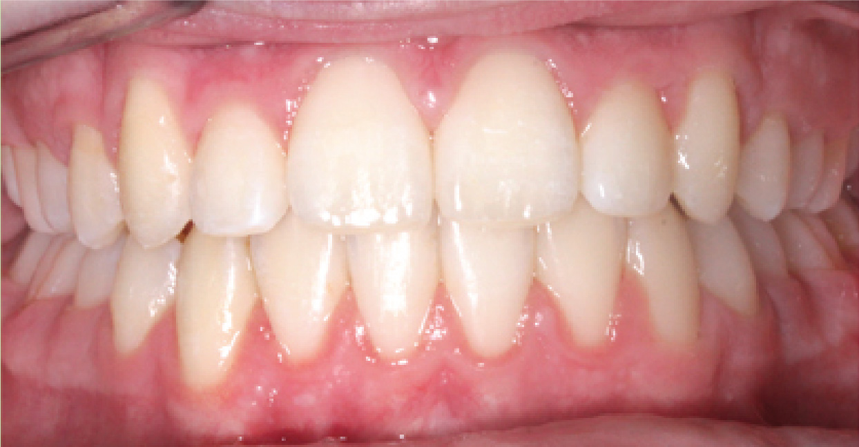
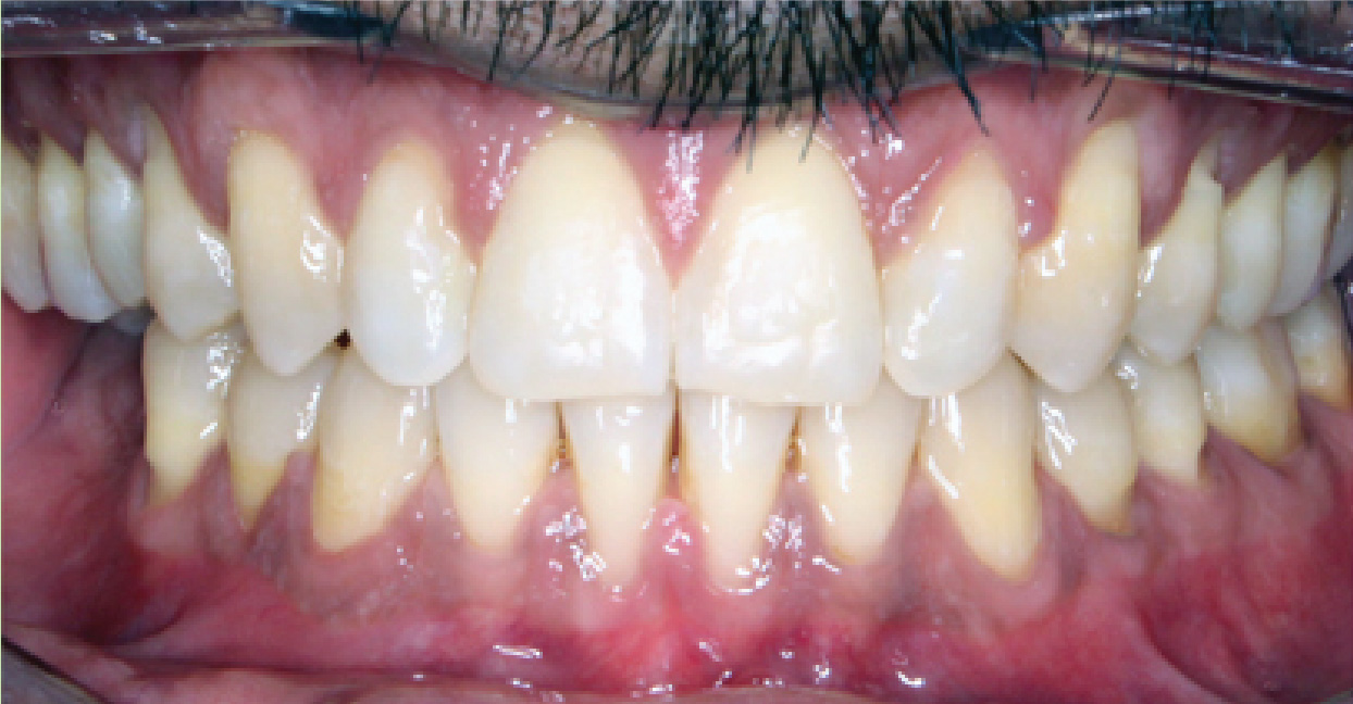
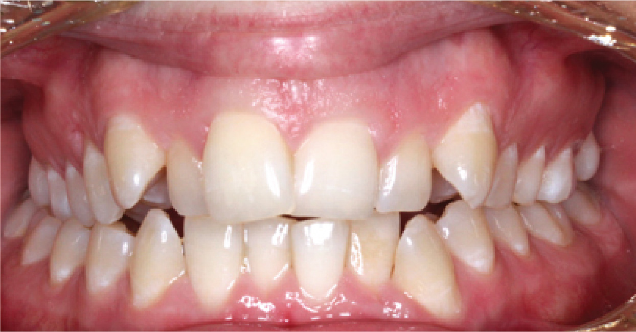
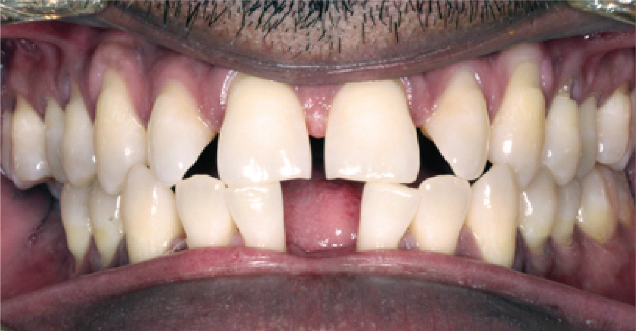
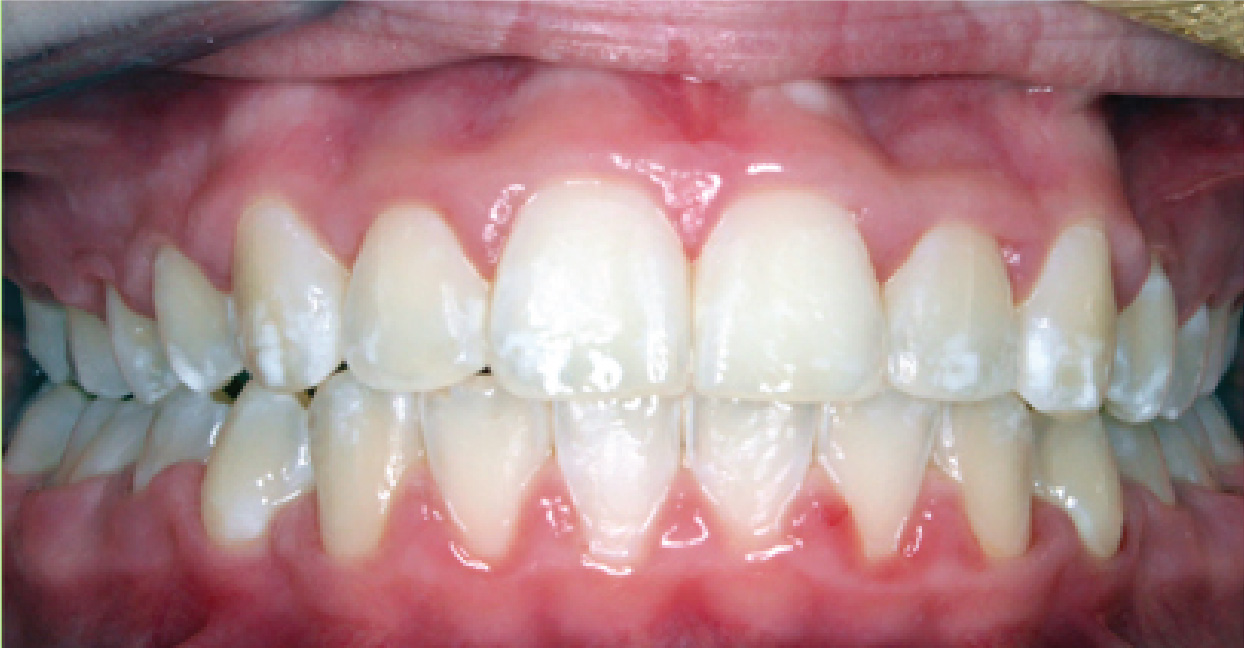
BEFORE AND AFTER
Faster Results. More Comfort. Beautiful Smiles.
Services
Why Aligners
Pricing
How It Works
Book Now
Call Us
780-800-0402
#175, 2055 Premier Way
Sherwood Park, AB
Email Us
info@sherwoodsmiles.ca
Text Us
check-circle